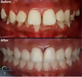
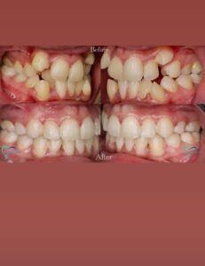
تقويم الأسنان الشفاف Invisalign
بإشراف الدكتور المختص وائل غنام
حاصل على التصنيف الأعلى من شركة انفزلاين للتقويم الشفاف
التقويم الشفاف يهدف إلى:
- استخدام التقويم بدون حرج من مظهره وبدون شكل معدني على الاسنان
تعديل شكل الأسنان وتحسين مظهرها.
الحصول على ابتسامة جميلة وجذابة.
تحسين اطباق الاسنان
دعنا نتصل بك للتعرف على أفضل حل لتقويم الاسنان
بعض من شهادات
مرضانا
"مركز متميز من ناحية الموقع والاستقبال والترحيب وفوق ذلك التجهيزات على أعلى مستوى ولا يفوتني الطبيب الخلوق والمتمكن د. عمر كورما شهادة حق عند الله خبرة تفوق التوقعات."
أيمن صالح
سوريا
"ايش اقول عن الدكتور وائل غنام رجل محترم ومتقن عمله بدقة فوق الممتازة والمواعيد وكل شيء ركبت عنده تقويم الانفزلاين من أجمل ما يكون ومرحلة العلاج مدتها اقل من سنة والنتيجة مرضية ورائعة جداً جداً ومبسوط أني عملت تقويم الاسنان عنده وهوا يعد أحد أكبر وأفضل المختصين في التقويم العلاجي ما شاء الله ان كان العادي او الانفزلاين مع الشكر الجزيل لشخصك الكريم"
Ahmed Mejaled
السعودية
"زوجتي عملت تركيبات اسنان عند دكتور مسلم منصور والحمد لله عمل ممتاز ودقه بالمواعيد والانجاز شكرا دكتور منصور"
عبدالوهاب الهواشم
السعودية
"السلام عليكم ورحمة الله الحقيقة عيادة مميزة في رأيي هي أفضل عياده أسنان في جده من ناحية الترتيب وتنسيق المواعيد والدقة فيها واشكر د / مسلم منصور، الحقيقة مبدع تبارك الله ولا غلطة، الوالدة ركبت عنده طقم اسنان فك علوي وسفلي تبارك الله ابداع وراحة الله يبارك فيه ومزيدا من التقدم والابداع"
عبدالعزيز السهيمي
السعودية
"أنظف وأرتب وافضل عيادة اسنان في جده مرر علي خلصني من معاناة دامة 6 اشهر تقريباً سويت جراحه لإزالة ضرسين العقل السفلية بطريقه البرد وتخدير كامل على طلبي لان ضروس العقل عندي داخله في عصب الفك واي غلطه تسبب لي تنمل دائم بس الحمدلله ربي وفقني لأفضل واشطر جراح فكين الدكتور احمد حسيني الله يجزاه خير الجزاء والاسعار متفاوتة وراعانا ودفعة كاش اللهم لك الحمد حتى يبلغ الحمد منتهاه."
أم فيصل العرياني
السعودية


دعنا نتصل بك للتعرف على أفضل حل لتقويم الاسنان
فريق من خيرة المتخصصين العناية بالأسنان وتجميلها
مجمع بطل التخصصي للاسنان
عروض مميزة و تقسيط مع تمارا






