
علاج العضة المعكوسة للاسنان | كل ما ترغب بمعرفته
علاج العضة المعكوسة للاسنان | كل ما ترغب بمعرفته

العضة المتصالبة أو العضة المعكوسة للاسنان هي مشكلة أسنان شائعة، أخصائيو تقويم الأسنان هم أطباء أسنان مدربون تدريباً خاصاً يمكنهم المساعدة في إصلاح العضة المتقاطعة (العضة المعكوسة للاسنان) والأسنان المنحرفة و إليك ما تحتاج لمعرفته حول العضة المتقاطعة.
اقرأ أيضاً: الأسنان الميتة | الأسباب والأعراض والعلاج
مفهوم العضة المعكوسة للاسنان
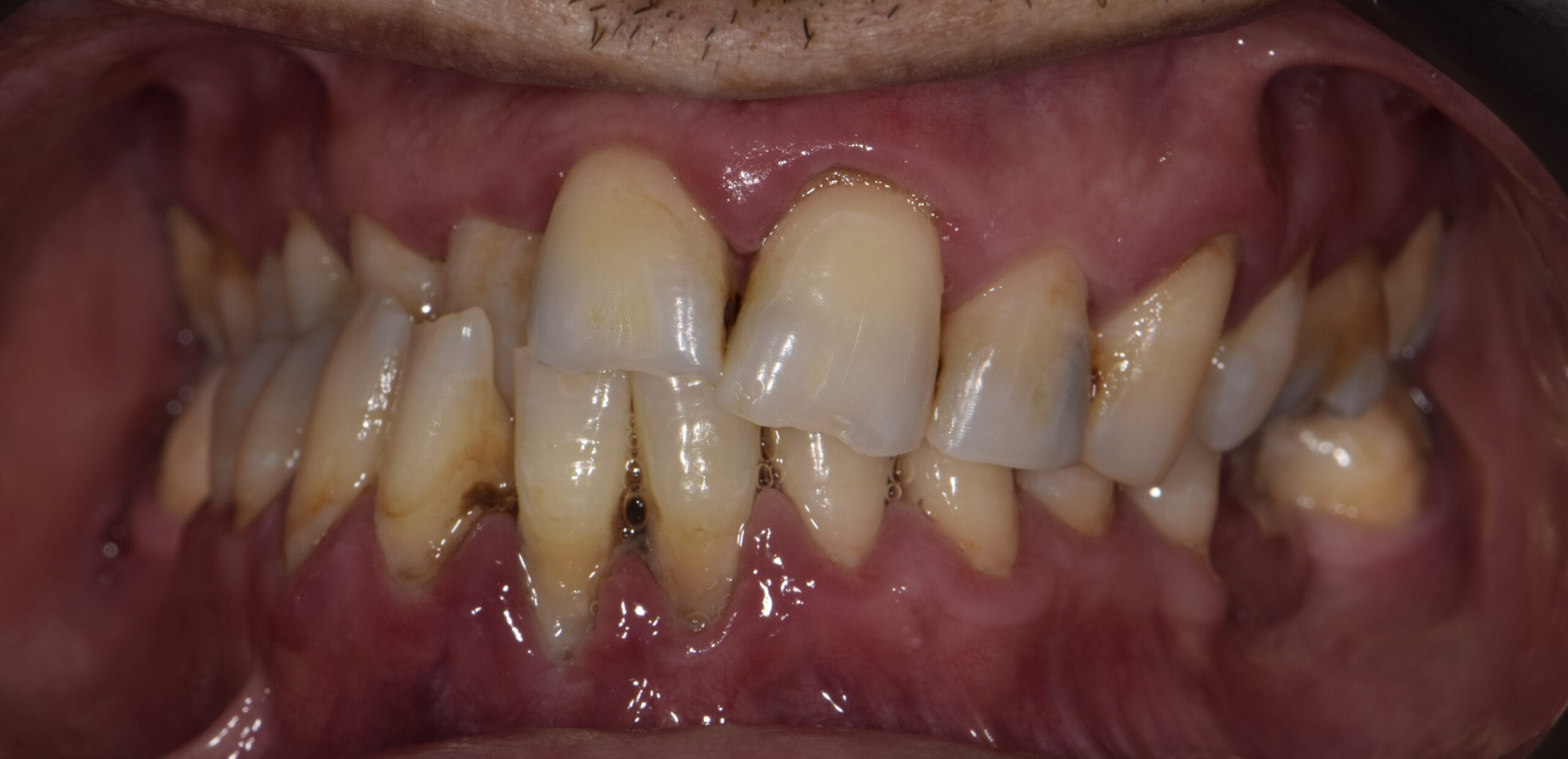
تحدث العضة المعكوسة للاسنان إذا لم تصطف أسنانك بشكل صحيح عند إغلاق فمك، يمكن أن يؤثر على سن واحد أو مجموعة من الأسنان مثل أسنانك الأمامية أو الخلفية.
عادة تكون أسنانك العلوية أوسع وتجلس على السطح الخارجي لأسنانك السفلية ويلامس كل سن علوي السن السفلي المطابق بحيث تنتشر القوة الناتجة عن المضغ أو الانقباض بالتساوي عبر فمك.
إذا كان لديك عضة متصالبة فقد تسبب هذه الحركات تآكلاً وتلفاً غير منتظم لأسنانك وهناك نوعان عامان من العضة المعكوسة للاسنان:
- العضة الخلفية: يحدث هذا عندما تجلس أسنانك الخلفية العلوية داخل أسنانك السفلية وتبدو الأسنان مائلة تقريباً نحو لسانك بدلاً من اصطفافها بشكل مستقيم ومتناسقة مع بعضها البعض.
- عضة أمامية: يحدث هذا عندما يجلس أحد أسنانك الأمامية العلوية أو بعضها خلف أسنانك الأمامية السفلية وهذا يختلف عن العضة السفلية والتي تحدث عندما تكون كل أسنانك العلوية خلف أسنانك السفلية.
اقرأ أيضاً: كل ما تحتاج لمعرفته حول حشوات الأسنان
اسباب العضة المعكوسة للأسنان
عادة ما تحدث العضة المتصالبة بسبب مشكلة في الأسنان أو الهيكل العظمي أو مزيج من الاثنين معاً و قد تكون هذه المشاكل ناجمة عن العادات أو تأخر نمو الأسنان أو مشاكل بنية العظام أو مشاكل مجرى الهواء العلوي أو الوراثة.
يمكن أن تشمل أسباب العضة المعكوسة للأسنان ما يلي:
- مصاصة أو مص الأصابع أو الإبهام الذي
- تدافع الأسنان.
- دفع اللسان أثناء البلع.
- الأسنان المفقودة.
- أسنان الطفولة التي لا تسقط.
- فقدان أسنان الطفولة المبكر الذي يسبب
- انجراف الأسنان.
- فك صغير لا يناسب جميع أسنانك.
- الأسنان أكبر من أن تتناسب بشكل جيد مع المحاذاة الصحيحة.
- الحنك المشقوق.
- الشفة المشقوقة.
يمكن دفع الأسنان والعظام وإخراجها من الشكل وإذا كانت الأسنان مفقودة أو متأخرة في الظهور فإن الأسنان الأخرى سوف تنجرف وتتحرك، مما قد يسبب مشاكل هيكلية ومحاذاة.
اقرأ أيضاً: متى تبدأ علاج تقويم الأسنان
اعراض العضة المعكوسة للسن
العارض الرئيسي للعضة المتصالبة هو الأسنان غير المنتظمة وتعتمد طريقة مظهرها على شدتها ومكان تأثر أسنانك وعلى سبيل المثال قد يكون أحد الأسنان مطوياً خلف آخر أو قد يكون لديك عدة أسنان لا تتلامس بشكل صحيح.
إذا تُركت العضة المتقاطعة دون علاج فقد تؤدي إلى مشاكل أخرى وتشمل هذه:
- الأسنان فضفاضة.
- انحسار اللثة.
- انهيار المينا.
- التجاويف.
- نمو الفك غير المستوي.
- الفك يتحول إلى جانب واحد.
- ملامح الوجه غير المتوازنة.
- اضطرابات المفصل الصدغي الفكي (TMD).
اقرأ أيضاً: طريقة علاج ضرس العقل
ما هو علاج العضة المتصالبة؟
لا تستقيم العضات المتقاطعة من تلقاء نفسها لذا فإن العلاج المبكر مهم لوقف مشاكل الفك والأسنان ومن الأفضل علاج العضة المتصالبة في مرحلة الطفولة عندما لا يزال الفك والوجه ينموان ويمكن للبالغين تصحيح العضة المتصالبة.
إذا لاحظت أن طفلك الصغير يعاني من عضة متصالبة فمن المرجح أن ينتظر أخصائي تقويم الأسنان حتى يبلغ سن السابعة أو الثامنة لبدء العلاج وتعتمد خطة العلاج على سبب وشدة العضة المتصالبة.
يمكن أن يشمل علاج العضة المتقاطعة ما يلي:
- موسع حنكي: هذا جهاز متصل بأسنانك العلوية ويجلس على سقف فمك، سيقوم أخصائي تقويم الأسنان بتعديله بشكل دوري لتوسيع الحنك والفك ببطء.
- الأقواس: تضغط هذه الأجهزة على عظامك وأسنانك لتحريك أسنانك إلى الوضع الصحيح و قد يكون لديك موسع للحنك وأقواس في نفس الوقت.
- الأجهزة القابلة للإزالة: إذا كان لديك سن أمامي علوي خلف أسنانك السفلية فقد يستخدم أخصائي تقويم الأسنان جهاز قابل للإزالة مع زنبرك و يضغط الزنبرك على أسنانك ويحركها للأمام بينما يحافظ الجهاز على أسنانك الأخرى في مكانها و يعمل هذا الخيار بشكل أفضل مع الأطفال الأصغر سناً الذين لا يزال فكهم ينمو.
- تقويم شفاف: هذه دعامات قابلة للإزالة مصنوعة من البلاستيك الشفاف يمكن استخدامها في بعض الحالات لإصلاح الأسنان المنحرفة.
- العلاج العضلي: هذا نوع من العلاج يعلمك كيفية المضغ والبلع حتى لا يدفع لسانك أسنانك خارج مكانها و يمكن أن يساعدك على تعلم التنفس من خلال أنفك بدلاً من فمك و قد تحصل على علاج قبل أو مع علاجات أخرى.
- سرير حنكي ثابت: هذا جهاز يعمل بالفم لإيقاف مص الإبهام أو الإصبع و يتوقف معظم الأطفال الصغار عن عادات المص من تلقاء أنفسهم أو مع تدريب الوالدين بين سن 2 و 4 سنوات و إذا استمرت هذه العادة أو لم ينجح أي شيء آخر فقد يستخدم أخصائي تقويم الأسنان هذا السرير لإيقاف هذه العادة.
اقرأ أيضاً: تآكل مينا الأسنان | الأسباب والتشخيص والعلاج
عيادة الأسنان في مجمع بطل التخصصي تتضمن أدوات وأجهزة متطورة لمساعدة أي شخص يعاني من ألم في الأسنان من التخلص من ألمه على أيدي أطباء أسنان أقل ما يمكن وصفهم بالماهرين لذلك سارع إلى حجز موعد في عيادة أسنان مجمع بطل التخصصي.
اقرأ أيضاً: الفرق بين خراج اللثة وخراج الاسنان












