
Digital Dental Implants in Jeddah
Are You Unhappy with the Appearance of Your Smile?
If you’re currently dissatisfied with your smile and have one or more missing teeth, it may be time to schedule an appointment with Dr. Fares Maatouq at Al Batal Specialist Dental Center in Jeddah. Missing teeth can lower your self-confidence and negatively affect your oral health. That’s why Dr. Fares recommends an advanced and innovative solution in implant dentistry known as digital dental implants to help restore your smile.Digital implants don’t just replace the visible part of the tooth; they also replace the root and supporting structures. For this reason, they tend to be longer-lasting, safer, more reliable, and more natural-looking than many traditional alternatives. Dental implants also offer important oral health benefits by helping to prevent the natural deterioration of the jawbone and facial structure that commonly occurs after long-term tooth loss.Digital dental implants, or “digital dental implant” procedures, use three-dimensional computer simulation to assess bone quality and nerve position before and during surgery. A reputable dental implant specialist in Jeddah can use this technology to plan your treatment and perform the procedure with minimal incisions.Compared with conventional implant surgery, digital dental implant techniques are typically associated with significantly less discomfort because the focus is on making the smallest possible incision.During the digital implant process, a detailed surgical guide is created and placed over the teeth. This guide ensures that no nerves or adjacent teeth are damaged. It also helps the dentist make very precise, yet minimal, incisions for placing the implant.

Who Is a Good Candidate for Digital Dental Implants?
Digital dental implants are suitable for a wide range of cases, especially when advanced technology is integrated into diagnosis and treatment planning. They can be particularly beneficial for:– Patients missing a single tooth, multiple teeth, or all teeth – Individuals who want a fixed, long-term alternative to removable dentures – Patients with complex anatomy where accurate nerve and sinus mapping is essential – Cases where optimal aesthetics and precise implant positioning are a priority
Types of Digital Dental Implants
Digital techniques can be used with various implant approaches, including:– Single-tooth digital implants – Multiple-unit and bridge-supported digital implants – Full-arch solutions such as “All-on-4”–style digital implant concepts – Immediate-load (same-day) digital implants in selected cases
How Digital Dental Implants Are Placed
Implant treatment typically extends over several months, with a significant portion of that time dedicated to healing and bone integration. At Al Batal Specialist Dental Center, we take additional steps to support faster healing and to ensure that there is adequate bone density to properly support the implant.
Examination and Evaluation
The process begins with a comprehensive clinical examination, digital X-rays, and often a 3D cone-beam CT scan. This allows your dentist to evaluate:– Bone volume and density – Position of nerves and sinuses – Condition of the surrounding teeth and gumsIf needed, additional procedures such as bone grafting or sinus lifting may be recommended before implant placement.
Surgical Planning
Using specialized software, a 3D virtual model of your jaws is created. The dentist then:– Determines the ideal position, angle, and depth for each implant – Designs a customized surgical guide to transfer this plan accurately to your mouth – Plans any necessary preparatory procedures in advanceThis digital planning helps minimize surgical risks and improves both functional and cosmetic outcomes.
Implant Placement Procedure
On the day of surgery:– Local anesthesia (and, if needed, sedation) is administered for comfort – The custom surgical guide is positioned in your mouth – Very small, precisely located incisions are made through the guide – The implants (titanium or zirconia posts) are placed into the jawbone following the digital planBecause of the guide and preoperative planning, the procedure is often quicker and less invasive than traditional freehand surgery.
Placement of the Temporary Crown
In many cases, a temporary crown or temporary restoration is attached either on the same day or shortly after implant placement, depending on bone stability and the specific treatment plan. This:– Protects the surgical site – Maintains your appearance and ability to smile – Helps guide the shape of the gums for an optimal final result
Healing Phase
Over the following weeks to months, a process called osseointegration occurs, where the implant fuses with the surrounding bone. During this period, you will:– Follow specific oral hygiene instructions – Attend follow-up visits so your dentist can monitor healing – Avoid excessive biting forces on the implant areaOnce healing is complete, a custom-made final crown, bridge, or full-arch prosthesis is fabricated and securely attached to the implants.
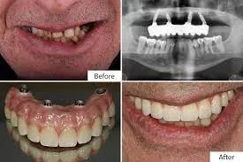
Digital Dental Implants Before and After (Photo Results)
Digital dental implant treatment often produces highly predictable and aesthetically pleasing results. Before-and-after images typically show:– Replacement of missing teeth with natural-looking restorations – Improved smile line, tooth shape, and alignment – Restoration of facial support in areas of bone lossYour dentist can show you actual case photos that match your situation to help you understand the expected outcome.




Digital Dental Implant Prices
It is difficult to provide an exact cost for digital dental implants in Jeddah without a personal consultation. Each patient has different clinical needs, aesthetic goals, and budget considerations. The total cost depends on:– Type and brand of implants used – Number of missing teeth and number of implants required – Need for additional procedures (bone grafts, sinus lifts, extractions) – Type of final restoration (single crowns, bridges, or full-arch prostheses)
Average Cost of Digital Dental Implants in Jeddah, Saudi Arabia
Treatment costs also vary depending on whether you visit an in-network (insurance-partner) dentist or an out-of-network/private dentist.In general, the cost of a complete implant (implant, abutment, and crown) can range from approximately 4,000 to 6,000 SAR per tooth. However, implant procedures are complex and highly individualized, so final costs will differ from one patient to another. A detailed treatment plan and estimate can only be given after a clinical and radiographic evaluation.
Advantages and Disadvantages of Digital Dental Implants
Advantages of Digital Dental Implants
Key benefits of using digital techniques in implant dentistry include:– More accurate diagnosis and 3D assessment of bone and nerves – Highly precise implant positioning using surgical guides – Smaller incisions and generally less postoperative pain and swelling – Shorter surgery time and faster initial recovery – Improved aesthetic outcomes and more predictable long-term results
Disadvantages of Digital Dental Implants
While digital implants offer many advantages, there are some potential drawbacks:– Higher initial cost compared to some conventional methods – Need for specialized equipment and expertise (not available in every clinic) – Additional planning time for 3D imaging and guide fabrication – Not all cases are suitable for immediate loading or same-day restorations
Post-Operative Tips from Al Batal Specialist Dental Center After Digital Dental Implants

After undergoing digital dental implant surgery, it is essential to follow the instructions provided by your implant dentist at one of the best dental implant clinics in Jeddah to ensure optimal healing and long-term success. Important recommendations include:– Take prescribed medications (pain relievers, antibiotics) exactly as directed – Apply cold packs in the first 24–48 hours to reduce swelling – Maintain excellent oral hygiene, gently cleaning around the surgical site as instructed – Stick to soft foods initially and avoid biting directly on the implant area – Avoid smoking and minimize caffeine, as they can delay healing – Attend all scheduled follow-up appointments to monitor osseointegration and gum healthFollowing these guidelines helps protect your investment in digital dental implants and supports a stable, long-lasting, and beautiful smile.
