
Metal Braces: A Complete Guide
Metal braces are one of the traditional orthodontic techniques used to treat various dental problems such as crowding, spacing, malocclusion (bad bite), and tooth rotation. This type of braces has proven its effectiveness in correcting these issues, making the teeth function better and become stronger, while also giving patients a consistently attractive smile.In this article, we will take a detailed look at metal braces.
What Are Metal Braces?
Metal braces are a system made up of several small metal components. Metal brackets are bonded to the surface of the teeth, and then a metal archwire is passed through these brackets. Metal braces are considered the most common type of orthodontic treatment used to correct different dental problems.
Metal Braces in English
Metal braces are referred to in English as “Metal braces,” and this term is widely used among dentists and professionals in the medical field.
Advantages and Benefits of Metal Braces
Metal braces are characterized by the following:
Disadvantages of Metal Braces
The disadvantages of metal braces include:Read also: Average Cost of Braces in Saudi Arabia and Jeddah

Types of Metal Braces
There are several types of metal braces that can be used, including:This is the most common and least expensive type. It is also faster and more effective in many cases. Metal brackets are bonded to the teeth using a special adhesive, then adjacent brackets are connected with a metal archwire. Small elastic or metal ligatures are often used to secure the wire in place.This type of braces is self-ligating compared to conventional metal braces. It consists of a metal archwire attached to the teeth through special brackets that do not require elastic ties to hold the wire. Instead, each bracket has a built‑in clip or sliding mechanism that locks the archwire in place.
Components of Metal Braces
Metal braces are typically made up of the following parts:
Who Is a Candidate for Metal Braces?

Metal braces are recommended for people who suffer from one or more of the following problems:
Cases Where Metal Braces Are Not Suitable
Metal braces may not be suitable for many cases, such as:
Stages of Getting and Using Metal Braces
The process of getting metal braces goes through several stages:
Initial Consultation
In this stage, the dentist examines the teeth and mouth to determine whether braces are appropriate. X‑rays and clinical photographs are taken, and the dentist discusses expectations, cost, and treatment duration with the patient.
Treatment Planning
At this point, the dentist develops a suitable treatment plan, decides on the appropriate type of metal braces, and takes impressions or digital scans to fabricate the orthodontic components.
Fabrication of Metal Appliances
The metal components are fabricated in a specialized dental laboratory. This process usually takes between two to three weeks.
Placement of Metal Braces
The dentist bonds the metal brackets onto the patient’s teeth and places the archwire. It is common to feel some discomfort at the beginning of treatment. During this visit, the dentist provides detailed instructions on how to clean and care for the teeth and braces.
Regular Follow‑up Visits
The patient needs to visit the dentist every 4–6 weeks to monitor progress. During these appointments, necessary adjustments are made to the braces to ensure optimal results.
Completion of Treatment
Treatment usually takes about 18–24 months, depending on the patient’s condition. After the treatment is completed, the dentist removes the metal braces.
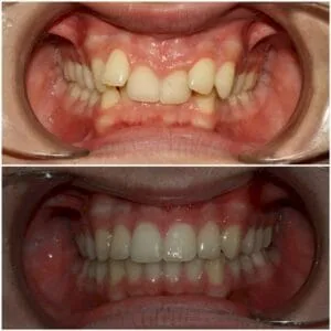
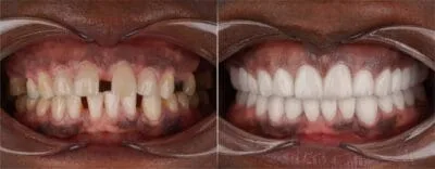
Metal Braces Before and After
The difference between the teeth before and after metal braces is usually very clear. Below is an image that illustrates this change:



Cost of Metal Braces in Jeddah – Saudi Arabia
The cost of metal braces in Jeddah, Saudi Arabia, varies according to several factors, including: the type of metal braces, the condition of the teeth, the dentist’s experience, the medical center, and other considerations. In general, the cost ranges between 5,000 and 10,000 SAR.Read also: Best Braces Prices in Jeddah [Exclusive Offers] 2024 – Batal Specialized Complex
Metal Braces in Pictures



How Long Should a Retainer Be Worn After Braces?
The duration of wearing a retainer after removing metal braces usually ranges from 4 to 9 months.At the end of this article, we have introduced metal braces and highlighted key information about them. You can contact us at the Dental Center in Batal Specialized Complex to start your orthodontic journey with some of the best types of braces at very competitive prices.
Frequently Asked Questions About Metal Braces

This varies depending on the patient’s condition, overall cost, lifestyle, and other factors.The price of metal braces differs based on many factors, but generally ranges between $3,000 and $7,500.
