
Tooth Decay: Causes, Symptoms, Stages, and Treatment
Tooth decay is one of the most common diseases worldwide. It can lead to multiple oral problems such as toothache, difficulty chewing, tooth loss, and even serious systemic health issues. In this article, we will explain the signs of tooth decay, why cavities may develop even with regular brushing, and share important tips from the dentists at Batal Specialized Complex Dental Center to help you protect your teeth.
What Is Tooth Decay?
Tooth decay is the process of breakdown and destruction of the tooth’s layers, leading to the formation of cavities (holes) in the teeth. It occurs as a result of the buildup of dental plaque, which is a sticky film of bacteria that forms on the surface of the teeth. These bacteria produce acids that attack the tooth enamel—the hard outer layer of the tooth—causing it to erode and decay.

Tooth Decay in English
In English, tooth decay is commonly referred to as “tooth decay,” and this term is widely used among dentists. The condition is also often called “dental caries.”
Causes of Tooth Decay
Tooth decay is one of the most widespread conditions in the modern world and affects both children and adults. Understanding the causes of tooth decay in detail is essential, which we explain below:

Bacteria
Bacteria naturally live in the mouth and form what is known as “dental plaque.” When these bacteria break down sugars from food, they release acids that attack the enamel, the hard outer surface of the tooth. Over time, this acid attack leads to enamel erosion and tooth decay.
Sugars
Sugars are the primary food source for oral bacteria. The more frequently sugary foods and drinks are consumed, the more acid the bacteria produce. This increases the risk of developing tooth decay.
Poor Oral Hygiene
Not brushing at least twice a day and not flossing at least once daily allows bacteria to accumulate and form a thick layer of dental plaque. Over time, plaque can harden into tartar (calculus), which is more difficult to remove and increases the risk of cavities.
Genetic Factors
Genetics play an important role in determining an individual’s susceptibility to tooth decay. Some people naturally have thinner or weaker enamel than others, making them more prone to developing cavities.
Dry Mouth
Saliva helps wash away food particles and bacteria from the mouth and neutralizes acids. Reduced saliva flow, known as “dry mouth” (xerostomia), allows bacteria and plaque to accumulate more easily, which raises the risk of tooth decay.
Medications
Some medications cause dry mouth as a side effect, which increases the likelihood of cavities. In addition, certain liquid medications, syrups, or chewable tablets may contain sugars that promote bacterial growth and tooth decay.
Signs and Symptoms of Tooth Decay
Tooth decay can progress through several stages without causing noticeable symptoms at first. As the decay advances, various signs and symptoms may appear, such as:– Tooth sensitivity, especially to hot, cold, or sweet foods and drinks – Toothache that may be mild at first, then become more persistent or severe – Visible white, brown, or black spots on the tooth surface – Bad breath or an unpleasant taste in the mouth – Pain when biting or chewing – Noticeable holes or pits in the teeth

Types of Tooth Decay
There are several forms of tooth decay, which we outline below:
Simple (Early) Tooth Decay
Early or mild tooth decay is the most common form. It often starts as white chalky spots on the tooth surface, indicating demineralization of enamel. If not treated, it can progress into deeper cavities.
Interproximal Decay (Between the Teeth)
This type of decay develops in the spaces between teeth, where plaque tends to accumulate and is harder to clean with a toothbrush alone. Because it is less visible and harder to reach, it can progress quickly if not detected early, usually with dental X‑rays.
Side-Surface Tooth Decay
Side-surface decay usually appears on the smooth sides of teeth. In its early stages, it is often not visible or easily noticed without a dental examination, which may delay diagnosis and treatment.
Root Decay
Root decay affects the tooth roots, which may become exposed due to gum recession. It is considered one of the more serious types of tooth decay because it can quickly reach and damage the dental pulp and nerve.

Stages of Tooth Decay
Tooth decay typically progresses through five main stages:1. **Initial demineralization:** Loss of minerals from the enamel, often seen as white spots.2. **Enamel decay:** The enamel surface breaks down and small cavities begin to form.3. **Dentin decay:** The decay reaches the dentin (the layer beneath the enamel), causing increased sensitivity and pain.4. **Pulp involvement:** The decay extends to the dental pulp, which contains nerves and blood vessels, often leading to severe pain and possible infection.5. **Abscess formation and advanced destruction:** Infection may spread beyond the tooth, forming a dental abscess and causing significant damage that can ultimately lead to tooth loss if not treated.
Treatment of Tooth Decay
The treatment of tooth decay mainly depends on the severity and location of the cavity. The most common treatment options include:
Dental Fillings
Fillings are used to treat small to medium‑sized cavities, typically in cases of mild to moderate decay. The dentist removes the decayed portion of the tooth and then fills the cavity with a suitable filling material, such as composite resin, amalgam, or other restorative materials.
Dental Crowns
Crowns are used for teeth that are badly broken down or severely damaged by decay. The dentist reshapes and removes the compromised part of the tooth, then fabricates a custom crown that fits over the remaining tooth structure. The crown restores the tooth’s shape, strength, and function.
Root Canal Treatment
Root canal therapy is performed to treat inflammation or infection of the dental pulp resulting from deep decay or trauma. The dentist removes the inflamed or infected pulp tissue, cleans and shapes the root canals, then fills and seals them to prevent reinfection. Some sensitivity or discomfort after treatment is common but usually subsides with time.
Treatment of Tooth Decay at Batal Specialized Complex Dental Center
Many patients choose to treat tooth decay at the Dental Center of Batal Specialized Complex due to the high‑quality services provided. Treatment options include fillings, crowns, and root canal therapy, performed by highly skilled and experienced dentists. The center also offers competitive pricing within the Saudi market.
Our Dentists’ Tips for Preventing Tooth Decay
The dentists at Batal Specialized Complex Dental Center recommend the following measures to help prevent tooth decay:– Brush your teeth at least twice daily with a fluoride toothpaste – Floss once a day to clean between the teeth and under the gumline – Limit sugary foods and drinks, especially between meals – Drink plenty of water and avoid frequent snacking – Visit your dentist regularly for check‑ups and professional cleanings – Use fluoride mouthwash or treatments if recommended by your dentist – Consider dental sealants for children and high‑risk teeth, as advised by your dentist
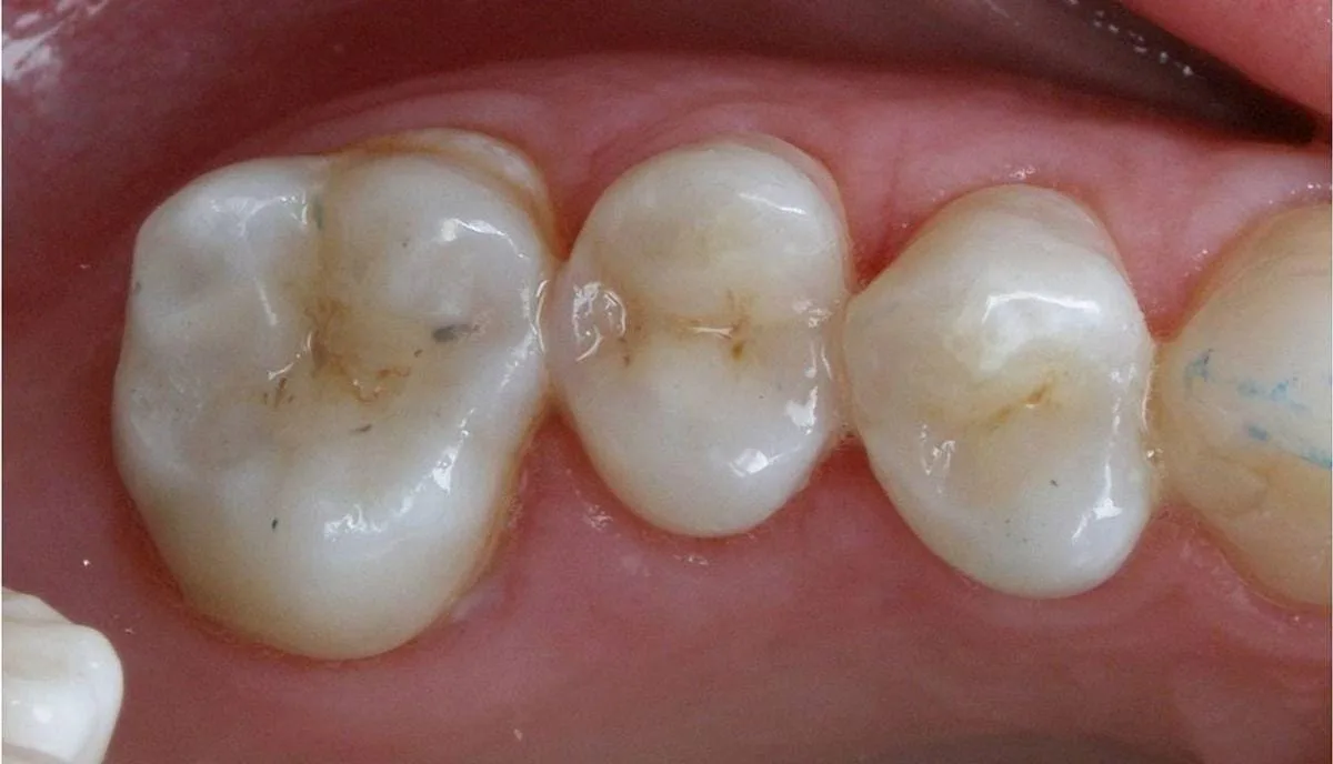
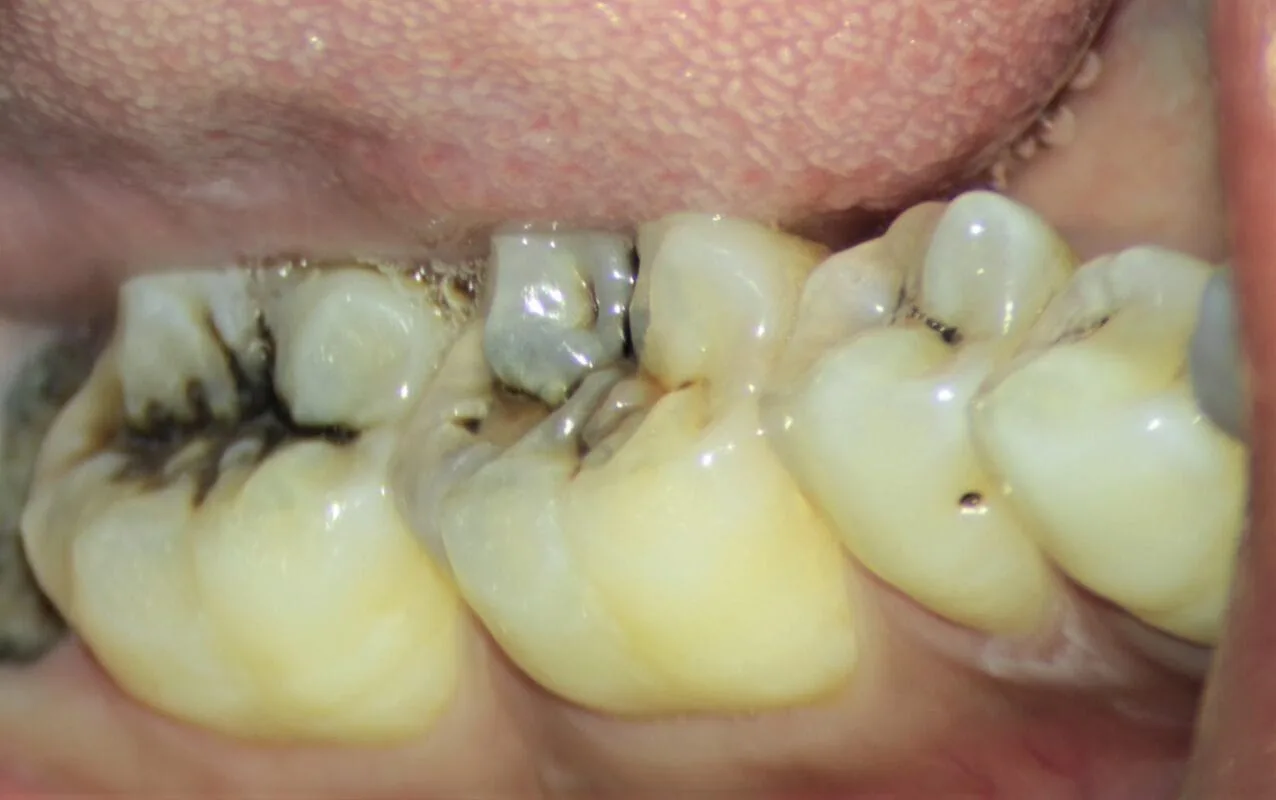
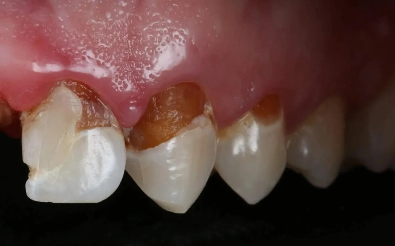
Tooth Decay in Pictures




In conclusion, we have explained what tooth decay is, reviewed its stages and symptoms, and shared valuable prevention and treatment tips. You can contact us at the Dental Center of Batal Specialized Complex for diagnosis and management of all types of dental problems, including tooth decay.

