
Why Do Gums Weaken With Age?
Gums tend to weaken in older adults due to a combination of natural and disease-related factors that accumulate over the years. As we age, blood flow to the supporting tissues around the teeth decreases, which affects the nutrition of the gums and their ability to renew cells. Over time, plaque and tartar build up on the teeth—especially when brushing and flossing are neglected—leading to chronic gum inflammation that can progress to periodontal disease and loss of the supporting bone around the teeth.
Hormonal changes, dry mouth (xerostomia) associated with long-term use of medications such as antihypertensives and antidepressants, and deficiencies of vitamins like vitamin C and vitamin D all weaken gum immunity and make the gums more prone to bleeding and recession. Daily habits such as smoking, poor nutrition, and skipping dental checkups also play a major role in increasing the risk of gum weakness with age. Understanding these causes helps with early prevention and maintaining healthy gums and teeth for as long as possible.
What Gum Weakness Symptoms Should Not Be Ignored?
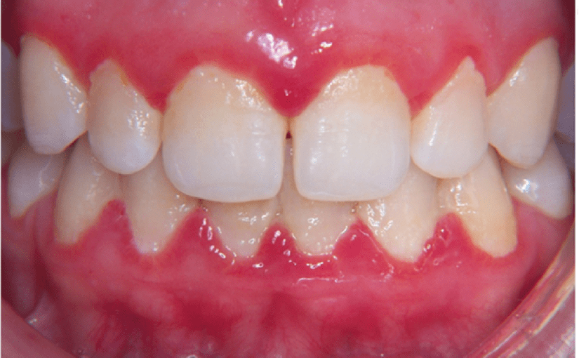
Frequent gum bleeding while brushing or eating, and persistent redness or swelling of the gums are among the most important warning signs that should not be ignored, as they may indicate the onset of gingivitis or chronic periodontal disease. Gum recession with more visible tooth roots, pain when chewing, or tooth sensitivity to hot and cold drinks are also red flags that require a dental visit to assess gum health in older adults.
Some people may notice bad breath that does not improve with brushing, an unpleasant taste in the mouth, or slight tooth mobility. These are serious signs of gum weakness and underlying bone loss. Ignoring these symptoms increases the risk of progression to chronic periodontitis and eventual tooth loss. Regular dental checkups and a consistent daily gum-care routine are strongly recommended to protect overall oral health.
The Relationship Between Gum Health and Tooth Stability
Healthy gums are essential for strong and stable teeth. Gum weakness in older adults doesn’t just affect appearance and comfort; it also threatens the long-term stability of the teeth. When gums become inflamed or proper oral hygiene is neglected, bacteria begin to destroy the supporting tissues and jawbone around the tooth roots. This leads to gum recession, formation of periodontal pockets, and gradual loosening of the teeth.
If gum inflammation is left untreated, it may progress to periodontitis (advanced gum disease), a stage at which the risk of tooth mobility and eventual tooth loss significantly increases. Maintaining healthy gums through daily brushing and flossing, regular dental visits, and treating gum disease in its early stages directly enhances tooth stability, prevents complications of gum weakness in older adults, and helps preserve a strong, healthy smile.
Causes of Gum Recession in Older Adults
Gum recession is one of the most common manifestations of gum weakness in seniors and is linked to several cumulative health and lifestyle factors. One primary cause is aging itself, as the regenerative capacity of the supporting tissues decreases and the gums become more fragile. Plaque and tartar buildup, combined with poor oral hygiene, lead to chronic gum inflammation that weakens the periodontal ligament and gradually causes the gums to recede. Untreated gum diseases such as gingivitis and periodontitis are among the leading causes of bone loss around the teeth and gum recession in older adults.
Common chronic conditions in this age group, such as diabetes, heart disease, and osteoporosis, may also contribute to faster gum deterioration and recession, especially when immunity is low or infections are recurrent. Harmful habits like smoking, using ill-fitting dentures, applying excessive biting force, or nighttime teeth grinding (bruxism) further increase the risk of gum recession and worsen gum weakness in older individuals.
Chronic gum inflammation is one of the main causes of gum recession and weakening gums with age. When inflammation persists without proper treatment, the supporting tissues around the teeth start to break down gradually, leading to gum recession and exposed roots. Plaque and tartar accumulation around the teeth irritates the gums and causes loss of surrounding bone, which accelerates gum recession and reduces tooth stability in older adults. Early detection and treatment of chronic gum inflammation in seniors is therefore crucial to prevent gum weakness and preserve oral health as long as possible.
(Read more: Acute Gingivitis: Causes and Treatment)

Harmful Daily Habits
Incorrect daily oral-care habits directly contribute to gum recession in older adults and accelerate gum weakening. Using a hard-bristled toothbrush or brushing with excessive force can wear away the gum margin and gradually cause recession. Neglecting to floss or failing to remove food debris from between teeth allows bacteria to accumulate, which weakens the gums and increases the risk of inflammation and recession.
Smoking is particularly damaging to gum health in seniors as it reduces blood flow to gum tissues and impairs their ability to heal and regenerate. Correcting these daily habits and adopting a gentle, consistent oral-care routine plays a major role in protecting the gums and slowing recession with age.
(May interest you: Causes of Tooth Pain When Eating and How to Treat It)
Health Changes With Age
Natural age-related health changes play a significant role in the development of gum recession and increased gum sensitivity and irritation in older adults. With age, salivary flow often decreases, leading to dry mouth, which makes it easier for bacteria to accumulate and raises the risk of gum infections.
Common chronic diseases among seniors, such as diabetes and cardiovascular disease, directly affect gum health and can speed up gum recession if not well controlled. Medications used to treat these conditions may also cause dry mouth or changes in gum tissues, which further increase the likelihood of gum weakness and recession. Understanding these age-related health changes helps in designing a comprehensive prevention plan to minimize gum weakness and its complications.
Neglecting Oral Hygiene
Poor or inconsistent oral hygiene is one of the most significant and direct causes of gum recession and gum weakness in older adults. Not brushing teeth twice a day and skipping regular dental checkups lead to the buildup of plaque and tartar—two major drivers of gum inflammation and destruction.
Over time, minor neglect in brushing and flossing can progress to serious gum issues, including recession, bleeding, bad breath, and ultimately tooth loss in advanced stages. Older adults who struggle with brushing due to mobility or health problems need additional support from family members or caregivers to maintain their oral-hygiene routine. Daily oral care, combined with regular professional cleanings, significantly reduces the risk of gum recession and helps preserve strong gums and teeth with advancing age.
Complications of Untreated Gum Weakness
Gum weakness in older adults is not merely a cosmetic concern; it can lead to serious complications if not treated early. As gum inflammation and recession progress, the tooth root becomes exposed and more susceptible to decay and severe sensitivity to hot and cold foods and drinks.
Gum weakness can also progress to periodontitis (advanced gum disease), which leads to tooth mobility and eventual tooth loss. Ignoring gum problems may increase the risk of bacteria entering the bloodstream, which has been linked to a higher likelihood of heart disease, hypertension, and complications of diabetes. Treating gum weakness in older adults, attending regular dental checkups, and using appropriate gum-care products are therefore essential for maintaining both oral and overall health.
How Does the Dentist Diagnose Gum Disease?
Dentists diagnose gum disease through a thorough clinical examination that starts with reviewing the patient’s medical history and asking about symptoms such as gum bleeding, bad breath, tooth sensitivity, and gum weakness in older adults. A special periodontal probe is used to measure the depth of the pockets between the gums and teeth; increased pocket depth is a key indicator of gum inflammation or early recession.
The dentist also assesses gum color, redness, swelling, any signs of recession or gaps between teeth, and plaque or tartar deposits around the gumline. In many cases, dental X-rays are ordered to evaluate the level of supporting bone and accurately determine the stage of gum disease, especially when advanced periodontitis or bone loss is suspected. Based on the clinical exam and radiographic findings, the dentist can classify the type and severity of the gum condition and develop an appropriate treatment plan to prevent progression and preserve long-term gum and tooth health.
Treatment Options for Weak Gums
Treatment of gum weakness in older adults depends on the degree of gum recession and the underlying cause. The main goal is to stop further breakdown of the supporting tissues and restore gum health as much as possible. In mild cases, treatment focuses on professional dental cleaning to remove plaque and tartar beneath the gumline, followed by a strict home-care routine that includes brushing twice daily with a soft-bristled toothbrush, flossing, and using an antibacterial mouthwash to reduce inflammation.
In more advanced cases of gum weakness or recession, the dentist may recommend specialized procedures such as scaling and root planing (deep cleaning of tooth roots), periodontal surgery to clean and reshape periodontal pockets, and in some instances gum grafting to replace lost tissues and protect exposed roots.
Managing contributing factors such as smoking, poor diet, and uncontrolled diabetes is also crucial for improving treatment outcomes. Regular follow-up visits enable the dentist to monitor the condition, stabilize gum health, and prevent complications like advanced periodontal disease and tooth loss.
Daily Prevention Strategies to Maintain Healthy Gums
Consistent daily gum care is the cornerstone of preventing gum weakness and inflammation in older adults and maintaining a healthy smile. Brushing twice a day with a fluoride toothpaste helps remove plaque, the main cause of gum disease and recession over time. Daily use of dental floss or interdental brushes is recommended to clean areas that the toothbrush cannot reach, reducing bacterial buildup that leads to gingivitis and periodontitis.
An antiseptic mouthwash can help decrease inflammation and kill harmful bacteria, particularly in people with weak gums or a history of gum disease. Quitting smoking, reducing sugar intake, and drinking adequate water all support gum health and help maintain strong gum tissues.
Regular dental visits for checkups and professional cleanings allow early detection of any signs of gum weakness and prompt treatment before they progress to more serious problems. By following these simple daily steps, older adults can significantly lower their risk of gum disease and maintain long-term oral health.
Treating Gum Disease and Maintaining Oral Health at Batal Dental Center
At Batal Dental Center, we place special emphasis on diagnosing and treating gum disease and gum weakness in older adults through a comprehensive care plan. This begins with accurate diagnosis using digital radiography and detailed clinical examination to determine the extent of gum inflammation or recession.
We offer advanced treatments, including deep gum cleaning (scaling and root planing) to remove tartar and bacteria from periodontal pockets and manage chronic gingivitis and periodontitis, with regular follow-up visits to limit further bone loss around the teeth. Our team of general dentists and periodontists uses the latest technologies and equipment to ensure effective results while minimizing pain and discomfort during and after treatment sessions.
We also focus on patient education, teaching proper daily gum-care techniques, including the use of the right toothbrush, dental floss, and antibacterial mouthwash, to prevent recurrent gum infections and preserve long-term oral health. Through this comprehensive approach, Batal Dental Center aims to maintain tooth stability, improve breath odor, and provide patients with a healthy smile that reflects strong gums and a well-maintained oral environment.
Patient Guide: Common Questions About Gum Weakness in Older Adults
Is gum weakness a natural part of aging?
It is common but not inevitable, and can often be prevented with daily care and regular dental checkups.
Is gum bleeding a serious sign?
It can be an early indicator of gingivitis and should be treated to prevent further deterioration.
Can receded gums grow back?
In some cases, their condition can be improved or further loss can be stopped with medical and surgical treatments.
Can weak gums cause teeth to fall out?
Yes. In advanced stages, weakened gums and bone loss can lead to loose teeth and eventual tooth loss.
How can I keep my gums healthy?
By daily brushing, flossing, using appropriate oral-care products, and visiting the dentist regularly.
When should I see a dentist about my gums?
If you experience frequent bleeding, swelling, bad breath, or noticeable gum recession.
Are gum diseases linked to general health problems?

Yes. They are associated with conditions such as diabetes and heart disease.
