
تسوس الأسنان: المراحل والأسباب والعلاج
يعتبر تسوس الاسنان من أكثر الأمراض انتشارًا وشيوعًا في وقتنا الحالي، كما أن هذا التسوس يمكن أن يسبب مشاكل عديدة في الفم، مثل: ألم الأسنان، صعوبة المضغ، أو فقدان الأسنان، وحتى التعرض لأمراض أخرى خطيرة، لهذا سنقوم في مقالنا بالتعرف على علامات تسوس الاسنان، وسبب تسوس الاسنان رغم تنظيفها، بالإضافة إلى استعراضنا لنصائح مهمة يقدمها أطباء مركز الأسنان بمجمع بطل التخصصي للمحافظة على الأسنان.
ما هو تسوس الأسنان؟
يُعرف تسوس الأسنان بأنه عملية تآكل وتلف بطبقات الأسنان، ما يؤدي لظهور ثقوب فيها، كما أنه يحدث نتيجة لتراكم اللويحة السنية وهي عبارة عن طبقة لزجة من البكتيريا تتجمع فوق سطح الأسنان، وتقوم بإفراز أحماض تهاجم طبقة المينا، وهي الطبقة الصلبة الخارجية للسن، ما يؤدي لتآكلها وتسوسها.

تسوس الأسنان بالإنجليزية
يُطلق على تسوس الأسنان بالإنجليزية مصطلح “ tooth decay” كما يشاع استخدام هذا المصطلح عادةً بين الأطباء.
أسباب تسوس الأسنان
إن تسوس الاسنان من الأمراض الأكثر شيوعًا في عالمنا الحالي، كما أنه يصيب الكبار والصغار في الوقت نفسه، لهذا من المهم التعرف على أسباب تسوس الاسنان بشكل مفصل، وهو ما سنقوم به فيما يلي:

البكتيريا
تعيش البكتيرا بالفم وتشكل ما يعرف باسم “اللويحة السنية”، كما أنها تقوم بإفراز أحماض عند تكسيرها للسكريات الموجودة بالطعام، وتقوم هذه الأحماض بمهاجمة طبقة المينا المعروفة بأنها طبقة السن الخارجية الصلبة، ما يؤدي لتآكلها وتسوسها.
السكريات
تعتبر السكريات مصدرًا أساسيًا لغذاء البكتيريا المتواجدة بالفم، وكلما كان تناول السكريات أكثر، كلما ازدادت كمية الأحماض التي تقوم البكتيريا بإفرازها، وهذا يزيد من خطر التعرض لتسوس الاسنان.
قلة العناية بالفم
إن عدم تنظيف الأسنان مرتين يوميًا بالفرشاة على الأقل، واستخدام الخيط لمرة واحدة، يتيح للبكتيريا أن تتراكم وتقوم بتكوين طبقة سميكة من اللويحة السنية، كما أن اللويحة السنية تصبح صلبة مع مرور الوقت، ما يُصعّب من إزالتها ويزيد من خطر التعرض للتسوس.
العوامل الوراثية
للجينات دور مهم في تحديد قابلية الأشخاص للإصابة بالتسوس، حيث إن بعض الأشخاص يمتلكون طبقة مينا أرق من غيرهم، وهذا بدوره يجعلهم أكثر عرضة للإصابة بتسوس الأسنان.
الجفاف
يساعد لعاب الفم على غسل بقايا البكتيريا والطعام من الفم، بينما قلة اللعاب تعرف باسم “جفاف الفم” وتكون نتيجة لتراكم البكتيريا وتكوّ، اللويحة السنية، وهو ما يزيد من خطر الإصابة بالتسوس.
الأدوية
تسبب بعض الأدوية جفافًا في الفم، ما يزيد من خطر تعرض الأشخاص لتسوس الاسنان، كما أن بعضها يحتوي على المواد السكرية التي تساهم بنمو البكتيريا.
أعراض وعلامات تسوس الأسنان
من الممكن أن يمر تسوس الأسنان بالعديد من المراحل المختلفة، دون أن تظهر له أي أعراض أو علامات واضحة، ولكن مع تقدم التسوس، تظهر أعراض وعلامات عديدة تدل على وجوده، تشمل:
- ألم الأسنان.
- حساسية الأسنان.
- بقع على الأسنان.
- ثقوب بالأسنان.
- التهاب اللثة.
- رائحة الفم الكريهة.
- صعوبة المضغ.

أشكال تسوس الأسنان
يوجد العديد من أشكال تسوس الاسنان، نتعرف عليها بالتفصيل فيما يلي:
تسوس الأسنان البسيط
يعتبر تسوس الاسنان البسيط، النوع الأكثر انتشارًا من أنواع تسوس الأسنان، كما أنه يبدأ بظهور البقع البيضاء فوق سطح السن، وفي حال لم يتم علاجه، يتطور لتسوس أكثر عمقًا.
تسوس الأسنان بين الأسنان
يحدث تسوس الاسنان بين الاسنان في المساحات المتواجدة بين الأسنان، كما أنه من الصعب تنظيفه، لهذا يمكن أن يتطور بشكل سريع.
تسوس الأسنان من الجنب
يحدث تسوس الاسنان من الجنب عادةً على جوانب الأسنان، وفي الغالب يكون غير مرئي بالمراحل المبكرة منه.
تسوس الجذور
يقع تسوس الجذور على جذور الاسنان، كما يعتبر من أكثر أنواع تسوس الاسنان خطورة حيث من الممكن أن يلحق ضررًا بالعصب.

مراحل تسوس الأسنان
تُعرف مراحل تسوس الاسنان بأنها 5 مراحل أساسية، نتعرف عليها فيما يلي:
- المرحلة الأولى: يتم فيها تآكل طبقة المينا نتيجة للأحماض الموجودة باللويحة السنية.
- المرحلة الثانية: وصول التسوس لطبقة العاج المعرفة بأنها الأكثر ليونة.
- المرحلة الثالثة: التهاب لب السن أي عصب السن نتيجة لوصول التسوس إليه.
- المرحلة الرابعة: يتكون في هذه المرحلة خراج بالسن نتيجة تراكم القيح.
- المرحلة الخامسة: تتمثل في تآكل العظم الذي يسند السن.
علاج تسوس الأسنان
إنّ علاج تسوس الاسنان يعتمد بشكل رئيسي على شدة وموقع التسوس، وفيما يلي نتعرف على أشهر هذه العلاجات:
الحشوات
يتم اللجوء إلى الحشوات من أجل علاج التجاويف صغيرة ومتوسطة الحجم أي عند التعرض لتسوس الاسنان البسيط، ويقوم الطبيب في هذه الطريقة بإزالة النسيج المتسوس، ومن ثمّ ملء التجويف بمادة الحشوة.
التيجان
يستخدم التيجان لعلاج الأسنان المكسورة أو التالفة بشدة، ويتم في هذه الطريقة إزالة الجزء العلوي من السن المتضرر، ومن ثمّ صناعة تاج مخصص حتى يتناسب مع السن، وبعدها يتم تركيب هذا التاج فوق السن المتبقي حتى يعيد له مظهره ووظيفته.
علاج الجذور
يتم استخدام علاج الجذور من أجل علاج الالتهابات الخاصة بلب السن، والتي تنتج عن إصابة أو تسوس عميق، كما يقوم الطبيب في هذه الحالة بإزالة النسيج الملتهب بلب السن، ومن ثمّ ملء القناة بجادة الأسنان من أجل منع العدوى، في الوقت الذي يمكن أن يشعر فيه المريض بحساسية أو ألم بعد علاج الجذور، ولكن في العادة يزول هذا الألم مع مرور الوقت.
علاج تسوس الأسنان بمركز الأسنان بمجمع بطل
لعل ما يدفع المرضى إلى علاج تسوس الاسنان بمركز الأسنان بمجمع بطل التخصصي، هو الخدمات المتميزة التي يقدمها المركز لعلاج تسوس الأسنان، بما يشمل: الحشوات، التيجان، علاج الجذور، حيث يضم المركز أطباء أسنان ذوي خبرة ومهارة عالية في معالجة تسوس الأسنان، ويقدم أسعار تنافسية في السوق السعودية.
نصائح أطباؤنا للوقاية من تسوس الأسنان
يقدم لكم أطباء مركز الأسنان بمجمع بطل التخصصي، مجموعة من النصائح المهمة للوقاية من تسوس الاسنان:
- التنظيف المُستمر: باستخدام الفرشاة والمعجون لمرتين يوميًا على الأقل ولمدة دقيقتين، مع استخدام خيط الأسنان لمرة واحدة في اليوم.
- النظام الغذائي الصحي: عبر التقليل من تناول المشروبات والأطعمة السكرية، وتناول المزيد من الخضروات والفواكه، مع ضرورة شرب الكثير من الماء.
- زيارة الطبيب بشكل مُنتظم: لابد من زيارة طبيب الأسنان كل 6 أشهر، من أجل إجراء فحوصات منتظمة وتنظيف الأسنان.
- العناية الإضافية: المتمثلة في استخدام غسول الفم الذي يحتوي على الفلورايد بعد تنظيف الأسنان، واستخدام فرشاة ذات شعيرات قصيرة وناعمة مع استبدالها كل 3 أشهر.
- المحافظة على صحة اللثة: من خلال تنظيف اللثة بلطف خلال تنظيف الأسنان، واستخدام خيط الأسنان بشكل منتظم من أجل إزالة البلاك بين الأسنان واللثة، علاوةً على أهمية التوقف عن التدخين كونه يضر بصحة اللثة، ويؤدي لخطر الإصابة بأمراضها.
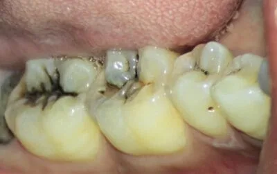
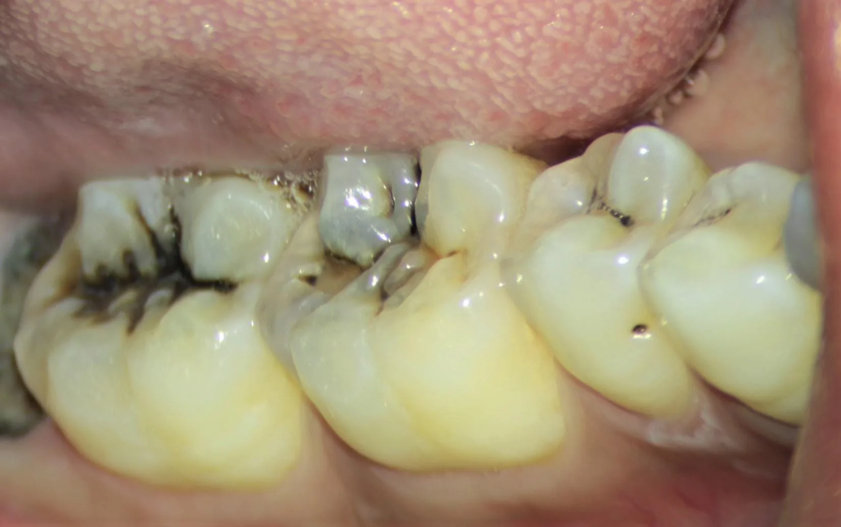
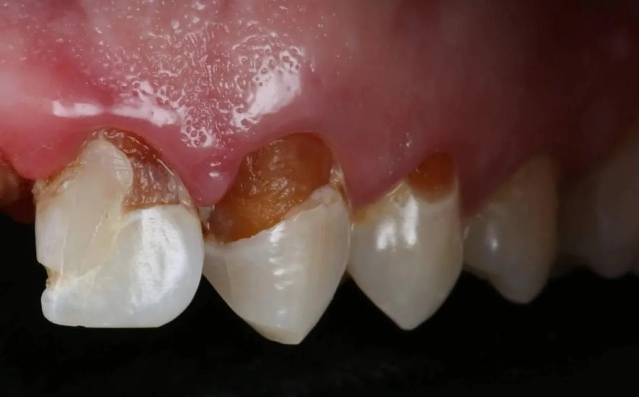
تسوس الأسنان بالصور
في ختام مقالنا نكون قد تعرفنا على تسوس الاسنان، وقمنا باستعراض مراحله وأعراضه، وقدمنا نصائح ثمينة بهذا الخصوص، في الوقت الذي يمكنكم فيه التواصل معنا في مركز الأسنان بمجمع بطل التخصصي، لعلاج مختلف مشاكل الأسنان.
مقالات مرتبطة:
- الفرق بين خراج اللثة وخراج الاسنان
- حساسية الاسنان والم عصب السن
- الاكل بعد حشو الاسنان
- التيجان السنية | افضل الانواع واهم الاستخدامات
- اعراض وصول التسوس للعصب
- ما هو السبب المحتمل لتسوس الاسنان؟
المصادر والمراجع :




