يوفر  تقويم الأسنان الخزفي حلاً فعالاً للغاية لتقويم الأسنان للأفراد الذين يسعون إلى تصحيح اختلالات الأسنان مع الحفاظ على مظهر أكثر سرية. تتكون هذه الأقواس من أقواس وأسلاك سيراميكية مخصصة لاحتياجات أسنانك. تم تصميم الأقواس لتتناسب بشكل وثيق مع لون أسنانك، مما يجعلها أقل وضوحًا من الأقواس المعدنية التقليدية.

يعرف التقويم الخزفي للاسنان بموثوقيته وفعاليته في تحقيق ابتسامة متناسقة بشكل جميل. وهي تعمل عن طريق تغيير موضع أسنانك تدريجيًا، مما يسمح بتحسين الشكل الجمالي والوظيفي.

إذا كان لديك المزيد من الأسئلة أو كنت ترغب في استكشاف تقويم الأسنان الخزفي كخيار علاجي، ففريقنا في مركز البطل التخصصي للأسنان موجود لتزويدك بالإرشادات الشخصية والدعم في كل خطوة على الطريق.

ما هو تقويم الأسنان الخزفي؟

تقويم الأسنان الخزفي أو تقويم الأسنان السيراميكي أو Ceramic Braces هي في الأساس نفس تقويم الأسنان المعدني التي تعرفها ويحبها أطباء تقويم الأسنان، ولكن الفرق الرئيسي هو أنها مصنوعة من مادة خزفية شفافة أو بلون الأسنان بحيث تمتزج بشكل أفضل مع أسنانك. على الرغم من أنها ليست غير مرئية تمامًا، إلا أنها أقل وضوحًا من نظيرتها المعدنية.

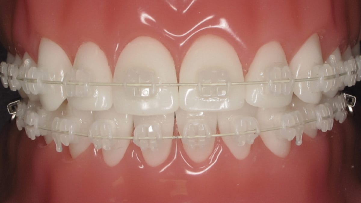
تقويم الأسنان الخزفي

 

أنواع تقويم الأسنان الخزفي 

تقويم الأسنان الخزفي الشفاف

  • يمكن تصنيع الأقواس الشفافة إما من البلاستيك (البولي كربونات) أو السيراميك. 
  • يعتبر مركب الألومنيوم المستخدم غالبًا في الأقواس الخزفية الشفافة أكثر متانة ومقاومة للبقع من البولي كربونات.
  • إذا كانت أسنانك بيضاء جدًا بشكل طبيعي، فمن المحتمل أن يكون التقويم الخزفي للاسنان الشفاف هي الخيار الأفضل لك.
  • على الرغم من أن الأقواس الشفافة لا تتعرض للبقع، إلا أن الأربطة قد تتلطخ. لذلك، ينصح أطباء الأسنان باستبدالها في كل موعد لعلاج الأسنان.

تقويم الأسنان الخزفي الأبيض

  • تقويم الأسنان الخزفي الأبيض ليس أبيض تمامًا ولكنه بلون الأسنان للتمويه داخل الفم. 
  • على عكس الأقواس المعدنية، فهي أقل وضوحا.
  • تناسب هذه الأقواس الأسنان الصفراء قليلاً.

تقويم الأسنان الخزفي الملون

  • يعتبر السيراميك الملون بمثابة تعديل مثير للاهتمام للأقواس الخزفية البيضاء حيث تكون الأقواس عبارة عن مجموعة متنوعة من الألوان. 
  • عندما يتعلق الأمر بتقويم الأسنان للأطفال، قد يرغب الشباب في الحصول على تقويم الأسنان الخزفي الملون.

مكونات تقويم الأسنان الخزفي

فيما يلي المكونات الرئيسية للتقويم الخزفي للاسنان:

  • الأقواس: تستخدم الأقواس الخزفية أقواسًا مصنوعة من السيراميك أو المواد المركبة. يتم ربط هذه الأقواس الخزفية بالسطح الأمامي لكل سن باستخدام مادة لاصقة للأسنان. تحتوي الأقواس على فتحة صغيرة لتثبيت السلك القوسي.
  • سلك القوس: سلك القوس عبارة عن سلك معدني رفيع يربط بين الأقواس ويضغط على الأسنان لتحريكها إلى الموضع المطلوب. عادةً ما يكون سلك التقويم الخزفي للاسنان مصنوعًا من المعدن، مثل الفولاذ المقاوم للصدأ أو التيتانيوم. يتم إدخال سلك القوس في الفتحات الموجودة على الأقواس.
  • الأربطة: تُستخدم الأربطة، المعروفة أيضًا باسم الأربطة المرنة أو المطاطية، لتثبيت السلك القوسي بشكل آمن في مكانه داخل الأقواس. في تقويم الأسنان الخزفي، غالبًا ما تكون الأربطة شفافة أو بلون الأسنان لتندمج مع الأقواس والأسنان. يمكن استبدال هذه الأربطة أثناء التعديلات الروتينية.
  • الحلقات الدائرية أو الأربطة المطاطية: قد تستخدم بعض الأقواس الخزفية حلقات دائرية أو أشرطة مطاطية صغيرة لتثبيت السلك القوسي في مكانه بدلاً من الأربطة التقليدية. يمكن أن تكون هذه الحلقات أو الأربطة المطاطية شفافة أو بلون الأسنان أيضًا.
  • الأنابيب الشدقية: في بعض الحالات، قد يشتمل التقويم الخزفي للاسنان على الأنابيب الشدقية، وهي عبارة عن مكونات معدنية متصلة بالأسنان الخلفية. توفر هذه الأنابيب دعمًا إضافيًا وتثبيتًا للسلك القوسي.

من هم المرشحون لتقويم الأسنان الخزفي ؟

يعتبر تقويم الأسنان الخزفي خيارًا شائعًا للأفراد الذين يحتاجون إلى علاج تقويم الأسنان ولكنهم يفضلون خيارًا أكثر سرية وأقل وضوحًا من الأقواس المعدنية التقليدية. 

يعتبر التقويم الخزفي للاسنان خيارًا ممتازًا لمجموعة واسعة من الأفراد،

  • أولئك الذين يشعرون بالخجل من ارتداء الأقواس ويبحثون عن خيار أقل وضوحًا. 
  • مثالية للمراهقين والبالغين الذين يرغبون في الحفاظ على مظهر احترافي أو جمالي أثناء خضوعهم لعلاج تقويم الأسنان. 
  • لا تكون الخيار الأفضل لمشاكل الأسنان المعقدة للغاية أو للأفراد المعرضين لكسر الأقواس بسبب أنشطة معينة في نمط الحياة أو عادات غذائية.
  • على الرغم من عدم وجود حد عمري صارم لاستخدام التقويم الخزفي، إلا أنه يوصى به عادةً للأطفال الأكبر سنًا والمراهقين والبالغين. 
  • يجب على المريض الإلتزام بنظافة الفم، حيث يتطلب تقويم الأسنان الخزفي رعاية جادة لتجنب التصبغ. 
  • مناسبة لتصحيح مجموعة متنوعة من حالات الأسنان، بما في ذلك الأسنان الملتوية، ومشكلات التباعد، والعضة الزائدة، والعضة السفلية، والمزيد.

الحالات التي لا يناسبها تقويم الأسنان الخزفي: الحالات المعقدة

تقويم الأسنان الخزفي، على الرغم من أنها مناسبة للعديد من الحالات، إلا أن هناك بعض المواقف المعقدة التي قد لا تكون فيها التقويم الخزفي للاسنان هي الخيار الأنسب. وهنا بعض الأمثلة:

  1. اختلال شديد في محاذاة الأسنان: إذا كانت الأسنان منحرفة أو مدورة بشدة، فقد لا يوفر التقويم الخزفي للاسنان القوة أو التحكم الكافي لتصحيح المشكلة بشكل فعال. في مثل هذه الحالات، قد تكون الأقواس المعدنية أو أجهزة تقويم الأسنان الأخرى أكثر ملاءمة.
  2. تشوهات العضة: قد لا يكون تقويم الأسنان الخزفي مثالي لتشوهات العضة حيث تتطلب تصحيحًا شاملاً. غالبًا ما تتطلب تشوهات العضة المعقدة تحكمًا وتعديلات أكثر دقة، وهو ما يمكن تحقيقه بشكل أفضل باستخدام خيارات تقويم الأسنان الأخرى.
  3. الحركة العمودية المحدودة: الأقواس الخزفية لها قيود معينة عندما يتعلق الأمر بحركة الأسنان العمودية. إذا كانت خطة علاج تقويم الأسنان تتضمن تعديلات رأسية كبيرة، مثل بثق الأسنان أو غرسها، فقد تكون الطرق البديلة مثل تقويم الأسنان الشفاف أو الأقواس مع ملحقات إضافية أكثر ملاءمة.
  4. الأسنان ذات المينا غير الكافية: يتم ربط الأقواس الخزفية بسطح المينا للأسنان. في الحالات التي تعاني فيها الأسنان من عيوب كبيرة في المينا أو عدم كفاية تغطية المينا، قد لا يكون تقويم الأسنان الخزفي مناسب. قد لا يوفر المينا المتضرر قوة كافية لالتصاق الأقواس بشكل صحيح، مما يؤدي إلى فشل محتمل في الترابط.
  5. حالات الطوارئ المتعلقة بتقويم الأسنان: في الحالات التي تتطلب تعديلات أو إصلاحات فورية لتقويم الأسنان، قد لا تكون الأقواس الخزفية هي الخيار الأفضل، وذلك نتيجة حساسية الأقواس الخزفية التي تجعل الإصلاحات أو التعديلات الطارئة أكثر صعوبة مقارنة بالأقواس المعدنية، والتي تكون بشكل عام أقوى وأكثر متانة.

مراحل تركيب تقويم الأسنان الخزفي  

1. الاستشارة الأولية

  • خلال الزيارة الأولى سيقوم الطبيب الدكتور فارس معتوق بفحص المريض واتخاذ القرار بشأن تركيب تقويم السيراميك للمريض. 
  • إذا تطابقت مؤشرات العلاج ورغبة المريض، يقوم الطبيب بالتقاط صورة افتراضية لفكي المريض بواسطة تقنية المسح ثلاثي الأبعاد، هذا الإجراء سريع ومريح. 
  • يقوم الطبيب بالتقاط صورة للمريض قبل العلاج ليرى ويظهر بوضوح للمريض تقدم العلاج ونتيجة.

2. التخطيط للعلاج

  • قبل البدء بتقويم الأسنان الخزفي يأتي المريض إلى دكتور تقويم اسنان في جدة  للتأكد من صحة تجويف الفم. 
  • يقوم طبيب الأسنان بإزالة جميع التسوسات قبل تركيب التقويم. 
  • مباشرة قبل تركيب التقويم، يقوم طبيب الأسنان بإجراء تنظيف احترافي لأسنان المريض وبعد ذلك فقط يتم تركيب التقويم الخزفي على أسنان صحية ونظيفة.

3. تصنيع القوالب الخزفية

  • يتم إرسال النموذج الرقمي للفكين إلى مختبر الأسنان، حيث يقوم الفني بعمل تقويم فردي لفك المريض.

4. تركيب القوالب الخزفية

  • يتم تركيب تقويم الأسنان، حيث سيقوم أخصائي تقويم الأسنان بوضع مادة لاصقة لتثبيت الأقواس على أسنانك قبل تثبيت الأسلاك المقوسة في الأقواس.
  •  سوف ينتهون باستخدام أشرطة مرنة لتأمين الأسلاك المقوسة. 
  • يقوم طبيب تقويم الأسنان في مركز بطل التخصصي للاسنان فى جدة بتعيين جدول زيارات للمريض.

5. المتابعة الدورية

  • تعتبر الفحوصات المنتظمة في المركز جزءًا لا يتجزأ ومهمًا في علاج تقويم الأسنان. 
  • خلالها، يتحكم الطبيب في ديناميكيات العلاج ويصحح الأقواس لتغييرات العض.

6. الانتهاء من العلاج

  • يستغرق تقويم الأسنان الخزفي حوالي سنة ونصف أو حتى ثلاث سنوات حتى يتم تقويم الأسنان.

نتائج تقويم الأسنان الخزفي قبل وبعد

يمكن أن يؤدي قويم الأسنان الخزفي إلى تحسينات كبيرة في محاذاة الأسنان ومظهرها. ستختلف النتائج المحددة قبل وبعد تقويم الأسنان الخزفي اعتمادًا على حالة الأسنان الأولية للفرد وأهداف العلاج. فيما يلي بعض التغييرات الشائعة التي يمكن تحقيقها باستخدام التقويم الخزفي:

  • أسنان أكثر استقامة: أحد الأهداف الأساسية لعلاج تقويم الأسنان هو محاذاة الأسنان الملتوية أو المنحرفة. تستخدم الأقواس الخزفية قوة لطيفة ومتسقة لتحريك الأسنان إلى وضعها المطلوب مع مرور الوقت. ومع تقدم العلاج، تصبح الأسنان تدريجيًا أكثر استقامة وأكثر اصطفافًا بشكل متساوٍ.
  • تصحيح محاذاة العض: يمكن أن تساعد الأقواس الخزفية أيضًا في تصحيح مشاكل العض المختلفة، مثل العضة العلوية، والعضة السفلية، والعضة المتقاطعة، والعضة المفتوحة. من خلال تعديل موضع الأسنان والفكين.
  • تحسين المظهر الجمالي: تم تصميم الأقواس الخزفية لتتناسب مع اللون الطبيعي للأسنان، مما يجعلها أقل وضوحًا مقارنة بالأقواس المعدنية التقليدية. ونتيجة لذلك، يشعر العديد من الأفراد بمزيد من الثقة والراحة طوال فترة علاج تقويم الأسنان. 
  • تعزيز صحة الفم: الأسنان المستقيمة أسهل في التنظيف والصيانة مقارنة بالأسنان المزدحمة أو المنحرفة. مع تحسين المحاذاة، يمكن للأفراد تنظيف أسنانهم بالفرشاة والخيط بشكل أكثر فعالية، مما يقلل من خطر مشاكل الأسنان مثل تسوس الأسنان وأمراض اللثة والتآكل غير المتساوي.
نتائج تقويم الأسنان الخزفي قبل وبعد

 

تكلفة تركيب تقويم الأسنان الخزفي  في جدة – السعودية 

بشكل عام، يكون سعر تقويم الاسنان الخزفي حوالي 5000 إلى 6000 ريال سعودي وفي بعض الحالات تصل إلي 10.000 ريال سعودي اعتمادًا على مدى تعقيد الحالة واستجابة الفرد للعلاج وخبرة الطبيب.

لسوء الحظ، فإن معظم خطط التأمين لا تغطي أي نوع تقويم الأسنان. حتى إذا كانت رعاية تقويم الأسنان مغطاة، فقد لا تندرج الأقواس تحت التغطية إذا لم تكن تحصل عليها بسبب سوء الإطباق أو حالات الأسنان الأخرى التي تؤثر سلبًا على أداء الفم.

تقويم الأسنان الخزفي بالصور 

كم مدة مثبت الأسنان بعد التقويم ؟

بعد الانتهاء من التقويم الخزفي للاسنان، يمكنك ارتداء مثبت طوال الوقت لعدة أشهر ، حيث يوصي أطباء تقويم الأسنان عادة بهذا لمدة 6-9 أشهر.

المصادر والمراجع:

 

اترك تعليقاً

لن يتم نشر عنوان بريدك الإلكتروني. الحقول الإلزامية مشار إليها بـ *