
Acute Gingivitis
Acute gingivitis is an inflammation of the gums and is a relatively common condition. In its early stages, gingivitis is painless but gradually worsens over time. It can eventually cause difficulty in chewing, and many people do not realize they have gingivitis until they visit a dentist in Jeddah. To prevent gum infections, maintaining good oral hygiene is the most effective solution.If you want to learn more about acute gingivitis, this guide will walk you through the essential information you need to know.
What Is Acute Gingivitis?
Acute gingivitis is a painful inflammation of the gums that can cause fever, bad breath, and a persistent feeling of discomfort. When the normal bacteria in the oral cavity multiply excessively, the gums can become severely infected. For this reason, you should schedule an appointment with a qualified female dentist in Jeddah as soon as possible.
Acute Gingivitis in English
The medical term for acute gingivitis is: acute gingivitis.
Types of Acute Gingivitis (With Images)
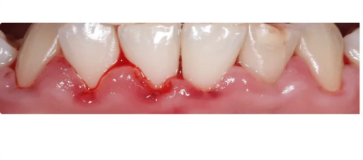
Acute Ulcerative Gingivitis
In acute ulcerative gingivitis, the gum tissue appears swollen, red, and painful, with a shiny surface and bleeding when gently examined. It rarely causes spontaneous bleeding and is usually not painful in its mild forms; however, in acute cases it can be quite uncomfortable.

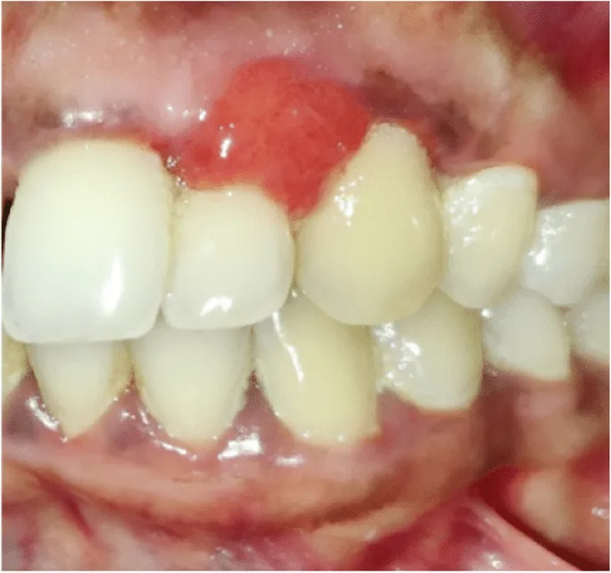
Acute Necrotizing Ulcerative Gingivitis (ANUG)
Acute necrotizing ulcerative gingivitis is a painful gum infection. Symptoms include severe pain, bleeding, bad breath, painful ulcerations, bleeding gums, and a persistent foul taste in the mouth.

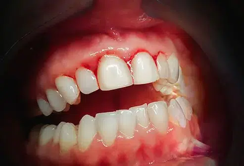
Acute Plaque-Associated Gingivitis
This type of gingivitis is caused by the buildup of dental plaque, a sticky film of bacteria that forms on the teeth. It is characterized by red, swollen gums that may bleed easily, especially during tooth brushing or flossing.

Hormone-Related Acute Gingivitis
Hormonal changes can affect gum health and increase the risk of gingivitis in two main ways: – By altering blood flow to the gum tissues – By interfering with the body’s ability to fight off toxins and bacteria associated with plaque and tartar buildupThis is commonly seen during puberty, pregnancy, and in women taking certain hormonal medications.

Drug-Induced Acute Gingivitis
Some medications, such as immunosuppressants and oral contraceptives, can cause gingival overgrowth or inflammation. This may lead to enlarged, red gums that bleed easily.

Symptoms of Acute Gingivitis
Acute gingivitis is a serious form of gum inflammation and requires prompt treatment. It can rapidly lead to:– Marked redness and swelling of the gums – Gum pain and tenderness – Bleeding gums, especially while brushing or eating – Bad breath (halitosis) or a bad taste in the mouth – Gum recession in some cases – Difficulty chewing due to painThis condition is often seen in smokers, but it is also associated with severe psychological or physical stress. Acute gingivitis has also been linked to systemic health problems such as heart attacks, lung diseases, and other systemic conditions.

Causes of Acute Gingivitis
Acute gingivitis develops as the body’s inflammatory response to plaque and tartar (calculus) on your teeth. When plaque and tartar are left on the teeth for a long time, the gums become irritated, red, and swollen.You may be at higher risk of developing acute gingivitis if you:– Smoke or use tobacco products – Have poor oral hygiene habits (infrequent brushing or flossing) – Have uncontrolled diabetes or a weakened immune system – Experience high levels of stress – Have nutritional deficiencies, such as vitamin C deficiency – Have poorly fitting dental restorations that trap plaqueIn addition, certain prescription and over-the-counter medications can reduce saliva flow, causing dry mouth (xerostomia). Saliva is essential for naturally cleansing the mouth and protecting the gums. Examples of such medications include:– Some antihistamines – Certain antidepressants – Blood pressure medications – Diuretics
Diagnosis of Acute Gingivitis
If you notice symptoms of acute gingivitis, you should see a dentist for a clinical examination and to determine the underlying cause. The dentist will examine your mouth and will look for:– Redness, swelling, and bleeding of the gums – Plaque and tartar buildup on the teeth – Gum recession or pockets between the teeth and gums – Ulcerations or necrotic (dead) gum tissue in severe casesIf your dentist suspects periodontal (gum) disease, dental X‑rays can help show whether the infection has affected the jawbone.The dentist may also perform additional tests, such as:– Measuring periodontal pocket depth with a periodontal probe – Evaluating bleeding on probing and gum attachment levels – Reviewing medical history and medications – In specific cases, microbiological tests or biopsy of gum tissue

Treatment Methods for Acute Gingivitis
Treatment for acute gingivitis usually involves a combination of professional dental care and good oral hygiene practices at home. Common treatment approaches include:– Professional dental cleaning (scaling) to remove plaque and tartar – Root planing if there are deeper gum pockets – Antiseptic mouth rinses (such as chlorhexidine) to reduce bacterial load – Topical or systemic antibiotics in more severe or necrotizing cases – Pain relievers and anti-inflammatory medications if needed – Instruction on proper brushing and flossing techniques – Adjusting or replacing poorly fitting dental restorationsPossible complementary or alternative measures that may support treatment of acute gingivitis include:– Using warm salt-water rinses to soothe the gums – Improving diet and increasing intake of vitamins (especially vitamin C) – Stopping smoking and reducing alcohol intake – Managing stress through lifestyle changes or counselingThese approaches should always be discussed with your dentist before use, especially in severe or necrotizing cases.

Prevention Tips for Acute Gingivitis with Al-Ashari Dental Center

To prevent acute gingivitis and maintain healthy gums, follow these tips:– Brush your teeth at least twice a day with a soft-bristled toothbrush and fluoride toothpaste – Floss daily to remove plaque between teeth and under the gumline – Use an antiseptic or fluoride mouthwash if recommended by your dentist – Schedule regular checkups and professional cleanings at Al‑Ashari Dental Center – Avoid smoking and tobacco products – Maintain a balanced diet rich in vitamins and minerals – Control systemic conditions such as diabetes and follow your physician’s advice – Inform your dentist about any medications you are taking that may affect your oral health
