Many people who want to straighten their teeth prefer removable braces. This may be for cosmetic reasons, or to be able to take the appliance out while eating, playing a musical instrument, or participating in sports.Removable braces are an excellent option for correcting a number of orthodontic problems. They are generally suitable for mild to moderate cases. It is important to consult an orthodontist in Jeddah to determine the best option for your specific dental needs. Regular follow‑up visits are also essential to monitor progress and make any necessary adjustments to the appliance.

What Are Removable Braces?

Removable braces, also known as removable orthodontic appliances, are a convenient alternative to fixed braces. Unlike fixed appliances, they can be taken out while eating, drinking, brushing and flossing, or during sports activities. This reduces the risk of oral health problems and increases both comfort and ease of use.Patients are usually advised to wear removable braces for about 22 hours a day. They are designed to be comfortable and aesthetically pleasing, often made from clear materials. Depending on the patient’s cooperation and adherence to instructions, visible results can appear within a few weeks.A typical removable appliance has an acrylic baseplate with stainless‑steel components (such as clasps and springs) that help keep the device securely in place on the teeth.

Removable Braces in English

In English, this type of treatment is commonly referred to as “removable braces,” “removable orthodontic appliances,” or less commonly “mobile braces.”

Types of Removable Braces

مكونات تقويم الأسنان المتحرك بالصور

Removable Orthodontic Appliances

There are several types of removable orthodontic appliances used in treatment. Some of the commonly used categories include:– Simple removable plates for minor tooth movement – Functional appliances to guide jaw growth in children and teens – Clear aligners (such as Invisalign) for discreet tooth movement

Removable Braces for Adults

Removable braces have played a major role in the growing demand among adults who want to correct widely spaced bites, misaligned, or crooked teeth. They offer a more discreet option and can better fit into the lifestyle and professional needs of adult patients.

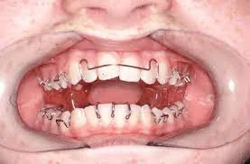
Components of Removable Braces

Removable braces generally consist of several parts that work together to correct dental misalignment. The main components include:– **Acrylic baseplate:** The plastic or acrylic plate that rests against the palate (upper jaw) or inside the lower jaw. – **Clasps:** Small stainless‑steel hooks or arms that grip the teeth and hold the appliance in place. – **Springs and wires:** Used to apply gentle, controlled forces to move specific teeth. – **Expansion screws (if present):** Devices within the plate that can be adjusted to widen the dental arch or modify jaw position.

Who Is a Candidate for Removable Braces?

The vast majority of patients who need orthodontic treatment can benefit from some form of removable appliance, especially those with:– Mild to moderate crowding or spacing – Minor bite irregularities – Early orthodontic needs in growing children – Patients who prioritize aesthetics and the ability to remove the applianceAn orthodontist must evaluate each case individually to confirm suitability.

Cases Where Removable Braces Are Not Suitable: Complex Cases

Removable braces are not adequate for fully correcting teeth that are severely rotated, heavily tilted, or that have erupted in a significantly wrong position. In such complex or severe malocclusions, fixed braces are usually required.In many situations, removable appliances are used as an initial phase of treatment, started at a young age to correct jaw position or guide growth. Afterwards, a fixed appliance is placed to fine‑tune and accurately align the teeth.

Stages of Getting Removable Braces

1. Initial Consultation

The orthodontist examines the teeth, jaws, and bite, takes a medical and dental history, and may request X‑rays, photographs, and dental impressions or digital scans.

2. Treatment Planning

Based on the diagnosis, the orthodontist designs a customized treatment plan, determines whether removable braces are appropriate, and explains expected duration, limitations, and outcomes.

3. Fabrication of the Removable Appliance

Dental impressions or digital scans are sent to a dental laboratory, where the removable appliance is fabricated to fit the patient’s mouth precisely.

4. Fitting the Removable Appliance

The appliance is tried in the mouth and adjusted for comfort and effectiveness. The orthodontist provides instructions on how to insert, remove, clean, and store it, and how many hours per day it should be worn.

5. Regular Follow‑Up Visits

Periodic appointments are scheduled to monitor progress, adjust wires, springs, or screws, and ensure that teeth are moving according to the treatment plan.

6. Completion of Treatment

Once the teeth and bite reach the desired position, active treatment with the removable appliance is stopped. In many cases, a retainer (which may also be removable) is used afterward to maintain the results.

Before and After Results with Removable Braces

Removable braces can achieve significant improvements in dental alignment and bite relationships between the start and end of treatment.Success largely depends on patient compliance—wearing the appliance for the recommended number of hours and following the orthodontist’s instructions. Regular check‑ups are also essential to monitor changes and make adjustments as needed throughout the treatment process.

Cost of Removable Braces in Jeddah, Saudi Arabia

The cost of removable braces in Jeddah, Saudi Arabia, varies depending on several factors, including the orthodontist’s fees, the reputation and location of the clinic, the length of treatment, and the complexity of the case.In general, prices for removable braces often range from about 3,500 SAR for simpler, shorter cases up to around 6,000 SAR for more complex cases.At Al Batal Specialized Dental Center, the cost of removable braces is described as competitive, transparent, and free of hidden charges.

Removable Braces Photos

تقويم الأسنان المتحرك بالصور
تقويم الأسنان المتحرك بالصور
تقويم الأسنان المتحرك بالصور

Clinical photographs are often used to show examples of removable braces in the mouth, as well as before‑and‑after images that illustrate the improvements achieved through treatment.

How Long Should a Retainer Be Worn After Braces?

A retainer should be worn for at least 6 months after the completion of active orthodontic treatment, and often longer, according to the orthodontist’s instructions, to stabilize the teeth in their new positions.

Frequently Asked Questions About Removable Braces

call us

– **How long does treatment with removable braces take?** Treatment typically takes about 6 to 12 months, but this varies according to the severity of the case and patient compliance.– **Are clear aligners like Invisalign suitable for everyone?** Invisalign and similar clear aligners are an excellent option for many patients, especially those with relatively mild and straightforward problems. More severe issues, such as significant crowding, crossbite, major jaw discrepancies, or very deep bites, are often treated more effectively with fixed braces.– **Can removable braces move teeth back to their natural position?** Yes. Removable braces and clear aligners can reposition teeth within certain limits, returning them closer to their ideal alignment when used appropriately.– **What is the price range for removable braces?** Depending on the patient’s condition and the specific appliance, the cost of removable braces can range roughly between 1,000 and 5,000 SAR in some settings.– **When do results start to appear with removable braces?** Early changes can often be seen within 2–3 months, provided the appliance is worn as instructed.– **Can removable braces close gaps between teeth?** Yes. Removable appliances and aligners can be used to close spaces between teeth in suitable cases.– **What are the main advantages of removable braces?** Their key benefits are that they are often discreet or nearly invisible, and they can be taken out while eating, brushing, and flossing, or at times when the patient finds them uncomfortable—provided this does not conflict with the required daily wear time.– **What do removable braces look like?** A typical removable appliance is a plastic or acrylic plate that fits against the palate and attaches to the upper teeth. The plate contains wires and clasps that the orthodontist adjusts to guide the teeth into their desired positions.

Leave a Reply

Your email address will not be published. Required fields are marked *